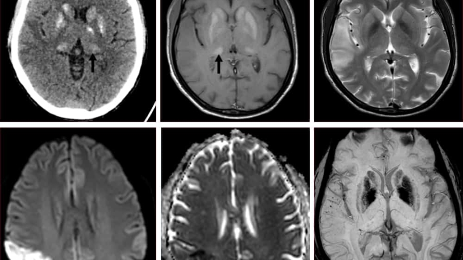
*39 year man
*K/c/o of Type 2 DM
*Newly diagnosed microcytic anemia
*Progressive weakness of left upper limb and lower limb past 6 months
*Involuntary movements of left hand
November 2021
An elderly woman presented with complaints of progressive diminution of vision in both eyes. MRI showed suprasellar meningioma impinging on the optic chiasm. Patient underwent excision of the mass .
Post operatively the patient did not wake up from anaesthesia.
CT scan was ordered to look for post-operative complications.
October 2021
45 year old man
K/C/O Type II DM/Hypertension
Presented with bifrontal headache associated with vomiting
Visual hallucinations
Imbalance while walking
Patient developed multiple episodes of seizures, became aggressive and restless during the hospital stay
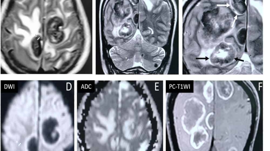
September 2021
53 year old female presented with complains of gait imbalance and ataxia.
She has chronic kidney disease and was recently started on anti tubercular therapy(ATT) for pulmonary tuberculosis
August 2021
18 year old man was found unconscious. History of excessive somnolence, ataxia and fatigue past 5 days. No history of fever or seizures. History of head injury following road traffic accident a year back and was on prophylactic sodium valproate therapy regularly
July 2021
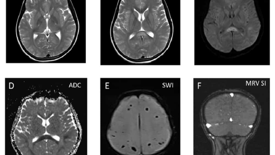
56 female
Acute onset severe headache – holocranial- thunderclap type while bathing with no postural variation. Recurrent vomiting and neck stiffness.
Prior H/o disabling migraine attacks
June 2021
A 29 year old male presented with first episode of left focal seizures.
May 2021
52 year old man with no co-morbidities presented with history of generalised seizures .
April 2021
28 years old female presented on 5th post partum day with altered sensorium and one episode of seizures. No history of elevated blood pressure. Sodium level at time of









