Nov 2022
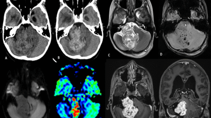
11 year old female child presented with history of right sided hearing loss, vertigo and imbalance since 6 months, right facial numbness, facial asymmetry and difficulty swallowing since 3 months, headache and vomiting since 1 month duration.

