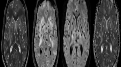
October 2021
45 year old man
K/C/O Type II DM/Hypertension
Presented with bifrontal headache associated with vomiting
Visual hallucinations
Imbalance while walking
Patient developed multiple episodes of seizures, became aggressive and restless during the hospital stay

