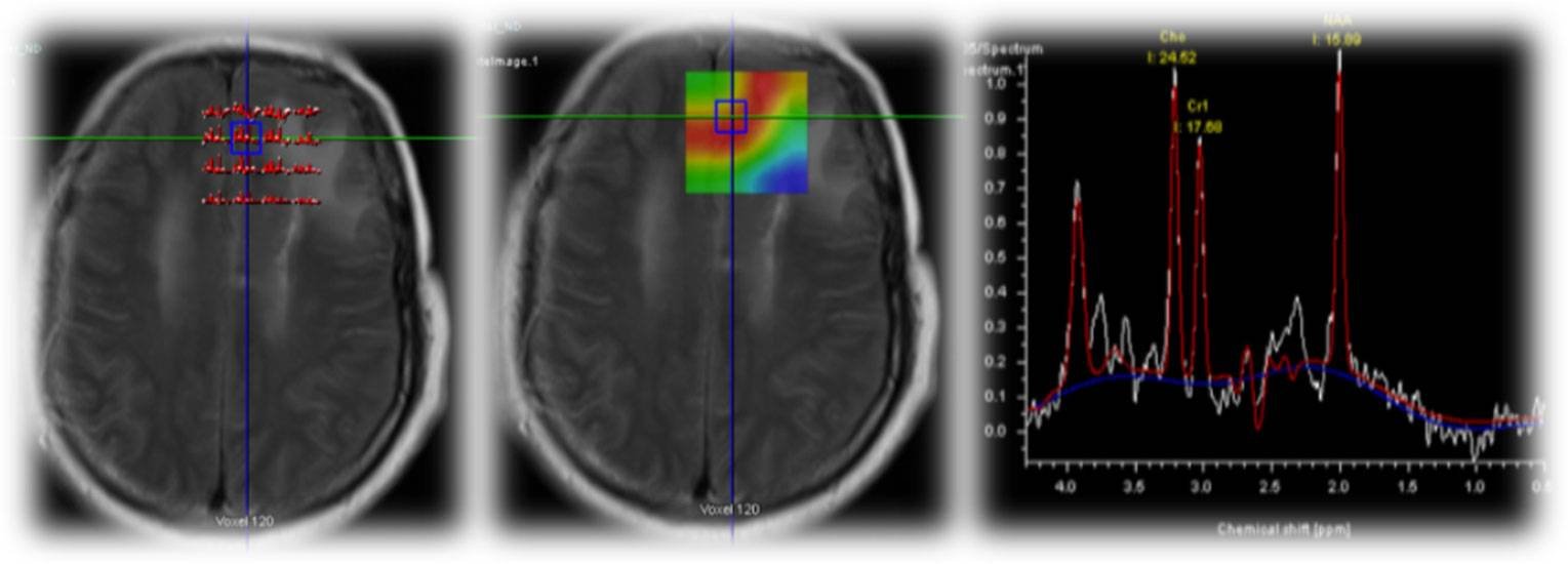
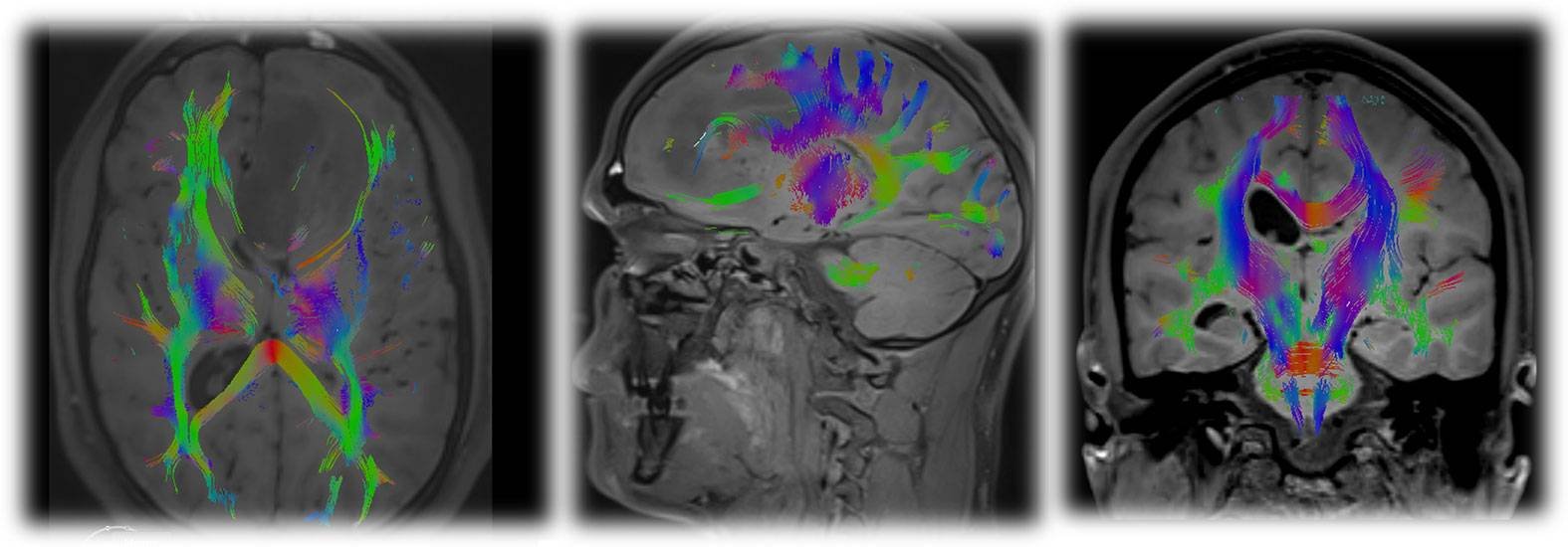
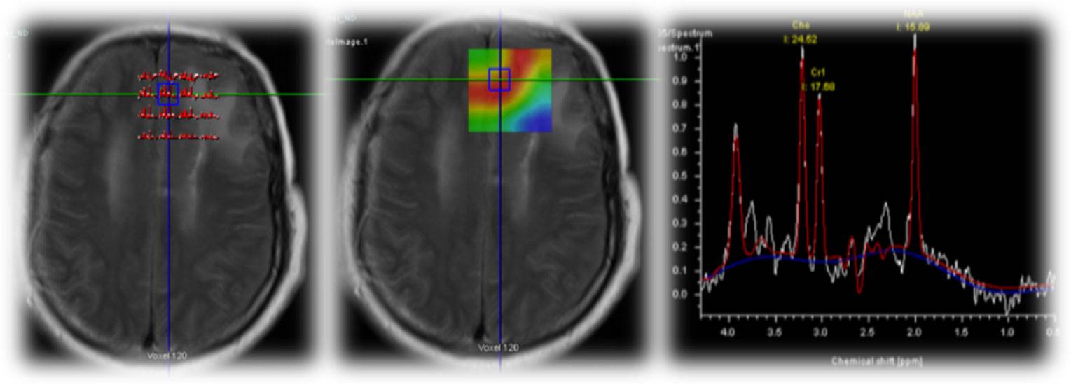
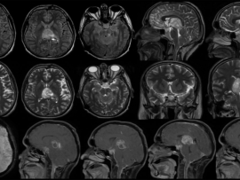
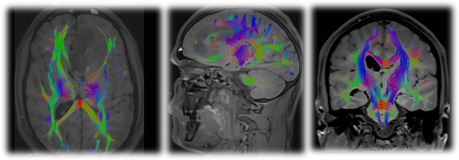
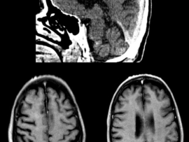
A 5-year-old male child presented with complaints of recurrent generalized tonic–clonic seizures and right-sided weakness ,predominantly involving the lower limb along with anger outbursts and abnormal behaviour.

The Official site of Indian Society of Neuroradiology








The Indian Society of Neuroradiology
Welcome to the official site of Indian Society of Neuroradiology (ISNR). ISNR is an academic society dedicated to teaching and practice of the specialty of neuroradiology including Imaging and interventions and boasts of about 700 members.
The medical science changes rapidly with constant technical innovations and addition of new knowledge, thus substantially changing the way we know and practice our specialty.
This is particularly true for neurosciences which is a thrust area for most new technical innovations, thus expanding our horizon constantly. The society endeavours to impart knowledge and educate trainees and practicing neuroradiologists, so that current ‘state of the art’ techniques are mastered and up to date ‘standard of care’ is delivered.
To Know more details about membership criteria click here.
India Society of Neuroradiology invite Neuroradiology practitioners to join ISNR for better learning.
ISNR Travel fellowships will be awarded to deserving applicants to cover expenses to attend international conferences
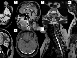
45 YEAR OLD MALE, Presenting compaints: Patient presented with lower back pain since 5 years; right leg numbness and tingling since 6 months and acute onset urinary incontinence
60-year-old adult, chronic smoker with history of angioplasty, presented with recent onset hemoptysis, weight loss and generalized fatigue with mild fever.
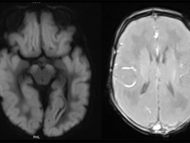
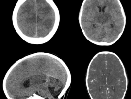
A term, appropriate-for-gestational-age neonate with normal APGAR scores and no history of perinatal hypoxia presented with seizures on day 2 of life.