53 year old female presented with complains of gait imbalance and ataxia.
She has chronic kidney disease and was recently started on anti tubercular therapy(ATT) for pulmonary tuberculosis
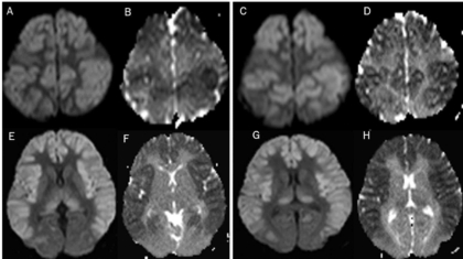
18 year old man was found unconscious. History of excessive somnolence, ataxia and fatigue past 5 days. No history of fever or seizures. History of head injury following road traffic accident a year back and was on prophylactic sodium valproate therapy regularly