May 2025
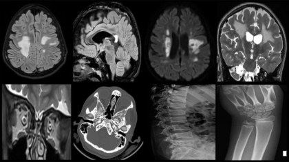
An 11-year-old female presented with complaints of progressive weakness of the left upper and lower limbs for 1 year, dysphagia for 4 months, reduced vision in the left eye for 3 months, dysarthria for 2 months, and urinary incontinence for 15 days.

