Linkedin X-twitter Facebook Envelope
Isnrlogologo

Indian Society of Neuroradiology (ISNR)

The Official site of Indian Society of Neuroradiology

  • Home
    • About ISNR
    • President’s Message
    • Secretary’s Message
    • History of Neuroradiology In India
    • Case of the Month
    • Dr. Prashant Shetty Memorial Oration
  • Office Bearers
    • EC Members
    • Past EC Members
    • Past ISNR Office bearers
    • ISNR Subcommittees
    • ISNR Young Neuroradiology Forum (YNRF)
  • Constitution
  • Members
    • Members’ Corner
    • Membership Fee
    • Membership Categories
    • Membership Benefits and Services
    • Become an ISNR Member
    • ISNR Membership Form
    • ISNR Travel Fellowship Award
  • Events
    • Gallery
    • Upcoming Events
    • Previous Events
      • 24th Annual Conference 2023
      • Mid Term CME 2023
      • Mid Term CME 2024
      • 27th Annual Conference 2026
    • Monthly Webinar Series
      • 2022
        • June
        • July
        • Aug
        • Sep
        • Oct
        • Nov
      • 2023
        • July
  • Contact
  • Login

Home

Monthly Archives: January 2021

Case of the Month January 2021

January 2021

January 31, 2021
by ISNR 2021Neuroradiology

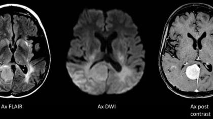
A 50 year old woman who underwent treatment for high grade pineal tumor. Presented with recurrent headache, seizures, visual disturbances and memory disturbances

Read More
1
blog1

Neuroradiology- The view from the other side. (A survey of Neurologists and Neurosurgeons in India – November 2018) —- Dr. Ravi Ramakantan

January 8, 2021
by ISNR Neuroradiology

Neuroradiology- The view from the other side. (A survey of Neurologists and Neurosurgeons in India – November 2018) —- Dr. Ravi Ramakantan The Background: In November 2018, I ran this survey amongst 2600 Neurologists, neurosurgeons and a few resident ...

Read More
0
  • May 2026
  • April 2026
  • March 2026
  • February 2026
  • January 2026
  • December 2025
  • November 2025
  • October 2025
  • September 2025
  • August 2025
  • July 2025
  • June 2025
  • May 2025
  • April 2025
  • March 2025
  • February 2025
  • March 2023
  • February 2023
  • January 2023
  • December 2022
  • November 2022
  • October 2022
  • September 2022
  • August 2022
  • July 2022
  • June 2022
  • May 2022
  • April 2022
  • March 2022
  • February 2022
  • January 2022
  • December 2021
  • November 2021
  • October 2021
  • August 2021
  • July 2021
  • June 2021
  • May 2021
  • April 2021
  • March 2021
  • February 2021
  • January 2021
  • December 2020
  • November 2020
  • October 2020
Isnrlogologo

Indian Society of Neuroradiology (ISNR)

The Official site of Indian Society of Neuroradiology

Linkedin X-twitter Facebook Envelope
Quick Links
  • About ISNR
  • Case of the Month
  • Become an ISNR Member
  • Contact
© 2026 Indian Society of Neuroradiology (ISNR). All rights reserved.
Shopping Basket