A term, appropriate-for-gestational-age neonate with normal APGAR scores and no history of perinatal hypoxia presented with seizures on day 2 of life.
January 2026
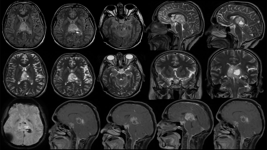
35 yr old male c/o headache, quadriparesis and blurring of vision.
December 2025 – Case 2
59-Year-old lady, a known case of chronic liver disease with portal hypertension presented with progressive left hemiparesis over three months.
December 2025 – Case 1
9-year-old female with URI for 1 week, fever for 3 days, seizures and altered sensorium for 1 day.
November 2025
A 44-year-old woman with no previous significant medical history presented with a history of pain and electric shock like sensation on the right side….
October 2025
A 43-year-old lady presented with chronic headache of 15 years. Headache aggravated on prolonged standing and walking.
September 2025
A 2 -year-old female presented to the pediatrician with complaints of poor feeding and developmental delay.
August 2025
A 29-year-old man complains of neck pain extending to left side of shoulder and diffuse back pain for 5 years.
July 2025
A 22-year-old male, born of nonconsanguineous parentage, presented with insidious onset, gradually progressive symmetrical upper limb and lower limb ataxia, dysarthria, and distal upper and lower limb weakness since the age of eight years.
June 2025
20 year old male patient presented with headache for 2 days, altered sensorium and single episode of seizure. He had a major road traffic accident one week back.










