October 2021
CASE HISTORY
•45 year old man
•K/C/O Type II DM/Hypertension
•Presented with bifrontal headache associated with vomiting
•Visual hallucinations
•Imbalance while walking
•Patient developed multiple episodes of seizures, became aggressive and restless during the hospital stay
Case contributed by –
Dr. Sai Kanth Deepalam and Dr. Babu Phillip – Department of Radiodiagnosis & Intervention radiology
Dr. Thomas Mathew and Dr. Poonam – Department of Neurology, St. Johns Medical college, Bangalore
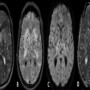
Cysticercal encephalitis
•Cysticercal encephalitis, is a very unusual presentation of NCC which occurs when there is diffuse cerebral edema along with multiple parenchymal cyst (1).
•Cysticercal encephalitis is the inflammation of brain parenchyma due to toxic reaction to cysticercal antigens which are released by degenerating cysts either spontaneously or due to cysticidal therapy (2).
•It is characterized by altered sensorium, seizures, diminution of visual acuity, headache, vomiting, and papilledema as in the present case.
•Cysticidal therapy should not be used in patients with disseminated NCC who have extensive cerebral edema and elevated intracranial pressure; it may further aggravate cerebral oedema by inflammatory response and may deteriorate the clinical condition (3).
•Imaging shows extensive lesions diffusely distributed in brain parenchyma with variable degree of perilesional edema and enhancement giving the picture of starry sky.
References
1. Rangel R, Torres B, Del Bruto O, Sotelo J. Cysticercotic encephalitis: a severe form in young females. American Journal of Tropical Medicine and Hygiene. 1987;36:387– 392.
2. Kishore D, Baranwal S, Misra S. Neurocysticercosis causing starry sky appearance — a non-ictal manifestation. J Assoc Physicians India. 2006;54:464.
3. P. Singhi Neurocysticercosis. Ther Adv Neurol Disord, 4 (2011), pp. 67-81 •





Coinfection of Japanese Encephalitis with Neurocysticercosis