Linkedin X-twitter Facebook Envelope
Isnrlogologo

Indian Society of Neuroradiology (ISNR)

The Official site of Indian Society of Neuroradiology

  • Home
    • About ISNR
    • President’s Message
    • Secretary’s Message
    • History of Neuroradiology In India
    • Case of the Month
    • Dr. Prashant Shetty Memorial Oration
  • Office Bearers
    • EC Members
    • Past EC Members
    • Past ISNR Office bearers
    • ISNR Subcommittees
    • ISNR Young Neuroradiology Forum (YNRF)
  • Constitution
  • Members
    • Members’ Corner
    • Membership Fee
    • Membership Categories
    • Membership Benefits and Services
    • Become an ISNR Member
    • ISNR Membership Form
    • ISNR Travel Fellowship Award
  • Events
    • Gallery
    • Upcoming Events
    • Previous Events
      • 24th Annual Conference 2023
      • Mid Term CME 2023
      • Mid Term CME 2024
      • 27th Annual Conference 2026
    • Monthly Webinar Series
      • 2022
        • June
        • July
        • Aug
        • Sep
        • Oct
        • Nov
      • 2023
        • July
  • Contact
  • Login

Home

Monthly Archives: July 2022

Featuredimgjuly22

July 2022

July 2, 2022
by ISNR 2022Neuroradiology

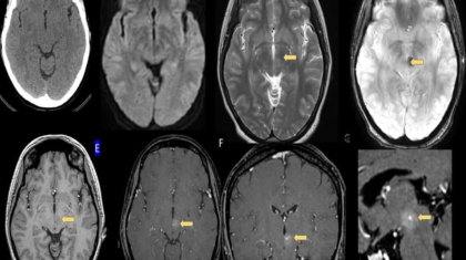
23 year old lady with tingling numbness in the right upper limb
No focal deficits
No significant past history
No neurological deficits on examination
MRI BRAIN (P+C) done for further evaluation

Read More
0
  • April 2026
  • March 2026
  • February 2026
  • January 2026
  • December 2025
  • November 2025
  • October 2025
  • September 2025
  • August 2025
  • July 2025
  • June 2025
  • May 2025
  • April 2025
  • March 2025
  • February 2025
  • March 2023
  • February 2023
  • January 2023
  • December 2022
  • November 2022
  • October 2022
  • September 2022
  • August 2022
  • July 2022
  • June 2022
  • May 2022
  • April 2022
  • March 2022
  • February 2022
  • January 2022
  • December 2021
  • November 2021
  • October 2021
  • August 2021
  • July 2021
  • June 2021
  • May 2021
  • April 2021
  • March 2021
  • February 2021
  • January 2021
  • December 2020
  • November 2020
  • October 2020
Isnrlogologo

Indian Society of Neuroradiology (ISNR)

The Official site of Indian Society of Neuroradiology

Linkedin X-twitter Facebook Envelope
Quick Links
  • About ISNR
  • Case of the Month
  • Become an ISNR Member
  • Contact
© 2026 Indian Society of Neuroradiology (ISNR). All rights reserved.
Shopping Basket