November 2021
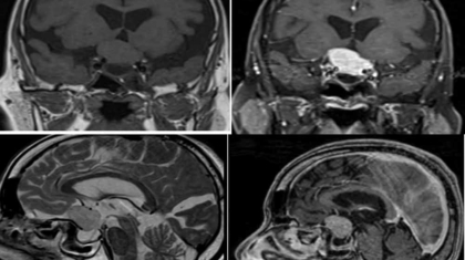
An elderly woman presented with complaints of progressive diminution of vision in both eyes. MRI showed suprasellar meningioma impinging on the optic chiasm. Patient underwent excision of the mass .
Post operatively the patient did not wake up from anaesthesia.
CT scan was ordered to look for post-operative complications.

