Oct 2022
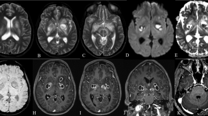
A 21 year old male was brought for evaluation of fever since 45 days associated with holocranial headache for 30 days and altered sensorium for 20 days .Working clinical diagnosis of chronic meningoencephalitis was made for which cross sectional imaging was requested.

