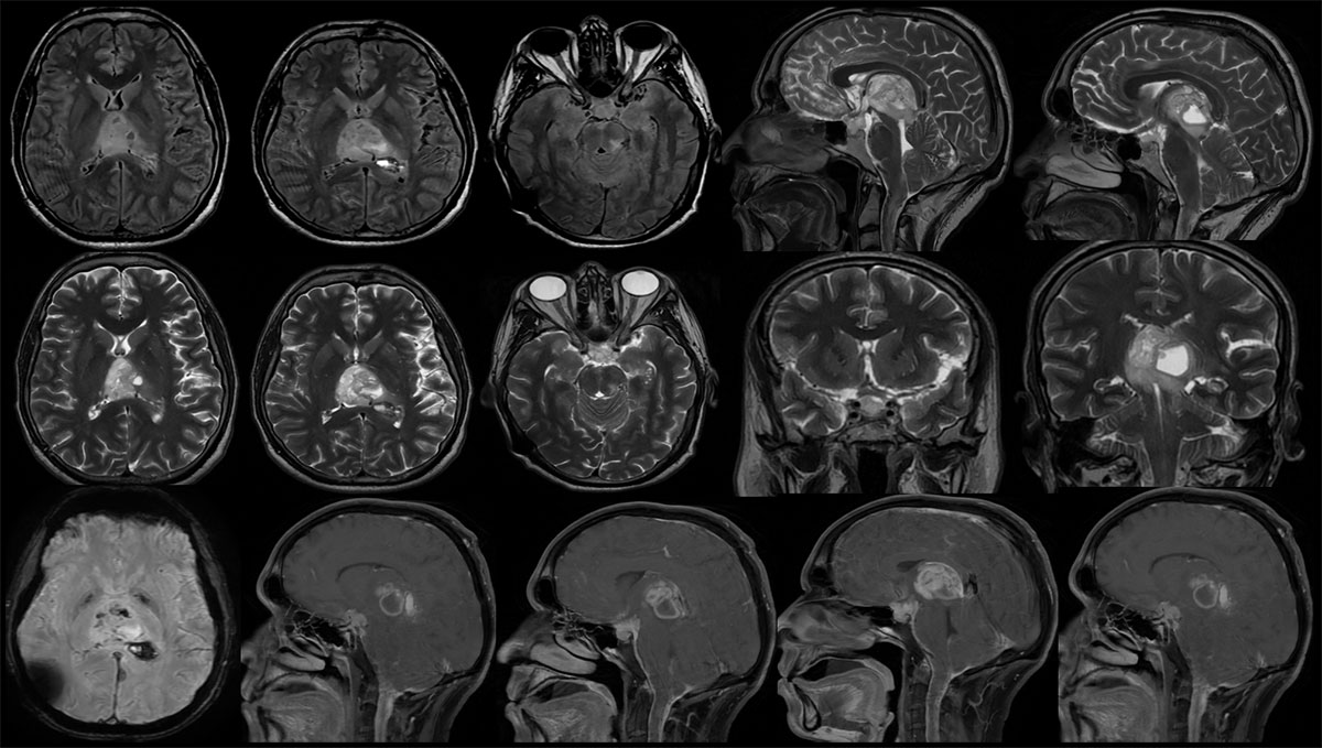
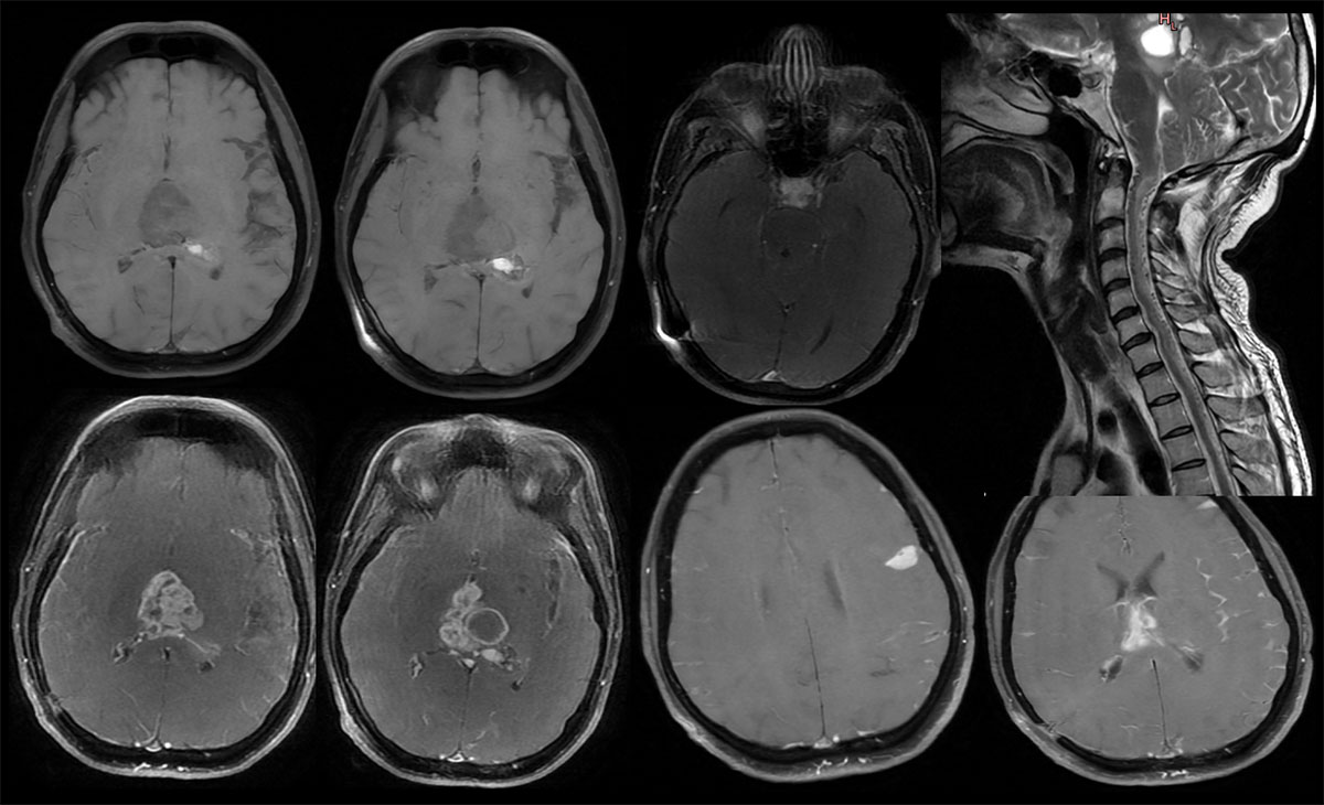
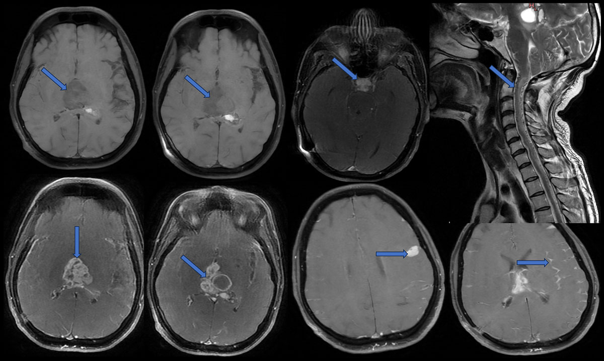
CASE HISTORY
- 35 yr old male c/o headache, quadriparesis and blurring of vision.
- H/o GTCS 7 months ago and difficulty in gripping the objects.
- No history of fever or weight loss.
- Was diagnosed as CNS TB on imaging and treated with ATT and VP shunt for hydrocephalus at other hospital.
CASE CONTRIBUTED BY
Dr. Mohd Asif, Consultant Neuroradiologist, Department of Radiology, Glenfield Mallareddy Hospital, Nampally, Hyderabad.
Dr. Syed Abdul Jaleel Kirmani, Consultant Neurosurgeon, Department of Neurosurgery, Glenfield Mallareddy Hospital, Nampally, Hyderabad.



Add a Comment
You must be logged in to post a comment