May 2025
CASE HISTORY
An 11-year-old female presented with complaints of progressive weakness of the left upper and lower limbs for 1 year, dysphagia for 4 months, reduced vision in the left eye for 3 months, dysarthria for 2 months, and urinary incontinence for 15 days.
History – Episode of GTCS one year ago.
O/E – Left-sided hemiparesis, multiple UMN-type cranial nerve palsies, and left optic atrophy.
CASE CONTRIBUTED BY
Dr. Shreyas Reddy K, Senior Resident, Radiology, St John’s Medical College, Bengaluru
Dr. Shravan Reddy K, Postgraduate Resident, Radiology, St John’s Medical College, Bengaluru
Dr. Sunitha Palasamudram, Consultant Neuroradiologist, Aster Group of Hospitals, Bengaluru


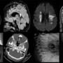
Figure A – D:
Axial FLAIR (A) and sagittal FLAIR (B) sequences of the brain show asymmetric confluent T2/FLAIR hyperintensities involving frontoparietal white matter (red arrows) and splenium of the corpus callosum (yellow arrow). Thinning of the posterior part of the body of the corpus callosum is seen (purple arrow). These signal changes demonstrate diffusion restriction on axial DWI sequence (C) (white arrows). Coronal T2 sequence of the brain (D) shows T2 hyperintensities extending along the bilateral corona radiata and internal capsule (R>L) (extension along the corticospinal tracts) (black arrows). No enhancement was seen on post-contrast sequences. The sparing of the subcortical U fibres was noted. No signal changes in the bilateral basal ganglia, brainstem and cerebellum were seen. Note is also made of diffuse generalised cerebral atrophy and ventricular enlargement, disproportionate to age.

Figure E- H:
Coronal T2 of the orbit (E) shows atrophy of the left optic nerve (red arrow). Axial CT in the bone window (F) shows diffuse sclerosis of the skull base (yellow arrows). Lateral radiograph of lumbo-sacral spine (G) demonstrates platyspondyly (purple arrow). AP radiograph of the left wrist (H) shows widened metaphyses of the distal ends of the ulna and radius, and metacarpals (green arrows).
DIAGNOSIS: CSF1R RELATED LEUKOENCEPHALOPATHY
BACKGROUND: Colony-stimulating factor 1 receptor (CSF1R) related leukoencephalopathy is a rare, autosomal dominant neurodegenerative disorder, caused by mutations in the CSF1R gene. This gene encodes a receptor tyrosine kinase critical for microglial survival and function. The disorder primarily affects the cerebral white matter and leads to progressive cognitive, behavioural, and motor deterioration. The spectrum of disease can range from early onset (<18 yrs) to late onset disease (>18 yrs), with early onset disease being associated with delayed milestones and skeletal abnormalities.
CLINICAL PRESENTATION: It is characterised by insidious onset and progressive neurological decline. Key clinical features include cognitive decline, neuropsychiatric symptoms, motor abnormalities, Parkinsonism, pyramidal signs, seizures, and speech and language deficits. Onset and progression are variable, but the disease is progressive, often leading to death within 5–10 years of symptom onset.
PATHOLOGY: Hallmark features include widespread white matter degeneration with loss of myelin and axons, abundant axonal spheroids, and pigmented, lipid-laden macrophages. Pathology predominantly affects the frontoparietal lobes and corticospinal tracts while sparing U-fibres and putamen. Ballooned neurons and bizarre reactive astrocytes are seen, with axonal damage preceding myelin loss, supporting primary axonopathy. Microglial loss and dysfunction are central, with compensatory infiltration by peripheral macrophages.
IMAGING FEATURES: On MRI, CSF1R-related leukoencephalopathy predominantly shows patchy or confluent T2/FLAIR hyperintensities in the frontoparietal and periventricular white matter, with occasional extension into deep white matter, occipital lobes, corticospinal tracts, cerebellum, and juxtacortical regions. T1-weighted images demonstrate corresponding hypointensities. Corpus callosal involvement is common. Gadolinium enhancement is rare. Brain atrophy, particularly in the frontal and frontoparietal regions, is frequently seen. DWI may reveal persistent restricted diffusion. Spinal cord imaging may show T2 hyperintensities or restricted diffusion along corticospinal tracts. Optic atrophy is rare. CT often reveals “stepping-stone” or “spotty” calcifications near the frontal horns. Skeletal findings may include bony sclerosis, platyspondyly, and widened metaphyses.
DIFFERENTIAL DIAGNOSIS: Leukoencephalopathy due to autosomal recessive mutations in the mitochondrial alanyl-transfer RNA synthetase gene (AARS2-L) – MRI in AARS2-L typically reveals confluent T2/FLAIR hyperintensities predominantly involving the periventricular and subcortical white matter. DWI may show corresponding restricted diffusion in the affected areas. Significant brain atrophy in regions of white matter involvement is seen. The corpus callosum is usually spared or only mildly affected, in contrast to the more prominent involvement seen in CSF1R leukoencephalopathy. Calcifications are absent. Ovarian failure is seen in all female patients.
TREATMENT: Care for patients with CSF1R-related leukoencephalopathy is primarily supportive. There is no cure for the disease. symptomatic therapies should be offered, including antidepressants for depression, muscle relaxants for spasticity, and antiepileptic drugs for epilepsy if tolerable.
REFERENCES:
- Konno T, Kasanuki K, Ikeuchi T, Dickson DW, Wszolek ZK. CSF1R-related leukoencephalopathy: a major player in primary microgliopathies. Neurology. 2018 Dec 11;91(24):1092-104.
- Guo L, Bertola DR, Takanohashi A, Saito A, Segawa Y, Yokota T, Ishibashi S, Nishida Y, Yamamoto GL, da Silva Franco JF, Honjo RS. Bi-allelic CSF1R mutations cause skeletal dysplasia of dysosteosclerosis-pyle disease spectrum and degenerative encephalopathy with brain malformation. The American Journal of Human Genetics. 2019 May 2;104(5):925-35.
- Mickeviciute GC, Valiuskyte M, Plattén M, Wszolek ZK, Andersen O, Danylaité Karrenbauer V, Ineichen BV, Granberg T. Neuroimaging phenotypes of CSF1R‐related leukoencephalopathy: systematic review, meta‐analysis, and imaging recommendations. Journal of Internal Medicine. 2022 Mar;291(3):269-82.

Add a Comment
You must be logged in to post a comment