CASE HISTORY
9-year-old female with URI for 1 week, fever for 3 days, seizures and altered sensorium for 1 day.
Known cerebellar malformation, unrelated to current event.
CASE CONTRIBUTED BY
Dr. Reettika Chanda, DMRD, MD, DNB, MNAMS
Clinical Fellowship in Diagnostic Neuroradiology, University of Calgary, CA
Associate Professor,
Department of Radiodiagnosis, Under the Division of Clinical Radiology,
Christian Medical College, Vellore

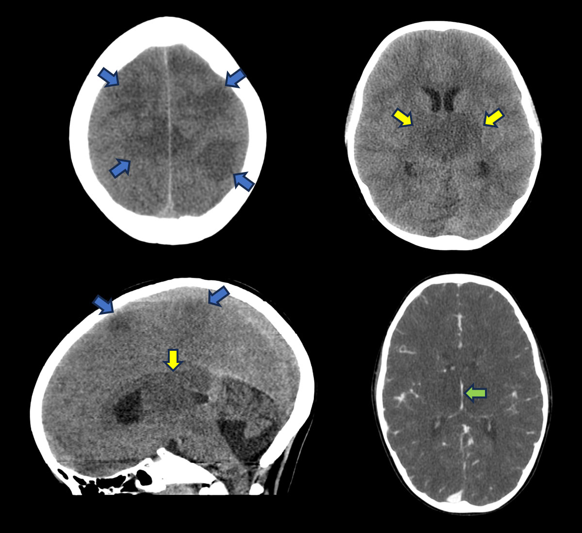
Diagnosis: Acute Necrotizing Encephalopathy of Childhood (ANEC)
Noncontrast CT:
- Multifocal parenchymal densities involving both grey-white matter in a nonvascular distribution in the supratentorial brain (blue arrows).
- Diffuse bithalamic swelling and hypodensity (yellow arrows).
- Basal cisternal effacement and indistinct mamillopontine distance on sagittal sections
Contrast enhanced CT:
- Patent internal cerebral veins (green arrows).
Discussion
- This case highlights the CT findings of ANEC in an acute clinical setting.
- Given the history of rapid neurological decline following a viral prodrome, these CT findings are diagnostic of ANEC.
- Patency of the cerebral veins rules out internal cerebral vein thrombosis as a cause of bithalamic involvement.
- Patients are often too unwell to undergo MRI, which may also provide limited additional diagnostic value; however, if performed, it can demonstrate the characteristic trilaminar sign in the thalami (yellow arrows), along with variable degrees of parenchymal involvement (blue arrows).

References
- Dar, Mohammad Irfan; Bhat, Vidushi; Bhardwaj, Surbhi. Acute necrotizing encephalopathy of childhood as a complication of dengue infection: A case report. Journal of Pediatric Critical Care 10(3):p 121-123, May–Jun 2023. | DOI: 10.4103/jpcc.jpcc_10_23
- Vanjare HA, Selvi BT, Karuppusami R, Manesh A, Gunasekaran K, Prabhakar AT, Mannam P, Jasper A. Clinical and Radiologic Findings of Acute Necrotizing Encephalopathy in Young Adults. AJNR Am J Neuroradiol. 2020 Dec;41(12):2250-2254. doi: 10.3174/ajnr.A6803. Epub 2020 Oct 29. PMID: 33122207; PMCID: PMC7963253.
- St-Amant M, Najjar R, Fortin F, Muzio BD, Glick Y, Yap J, et al Acute necrotizing encephalopathy. Reference article, Radiopaedia.org https://doi.org/10.53347/rID-24838 Available from: https://radiopaedia.org/articles/24838

Add a Comment
You must be logged in to post a comment