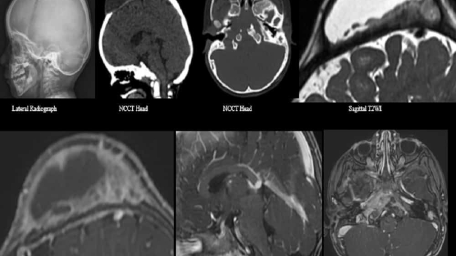
A 3-year-old male presented with nontender gradually progressive cystic swelling over the scalp for 9 months.
January 2021
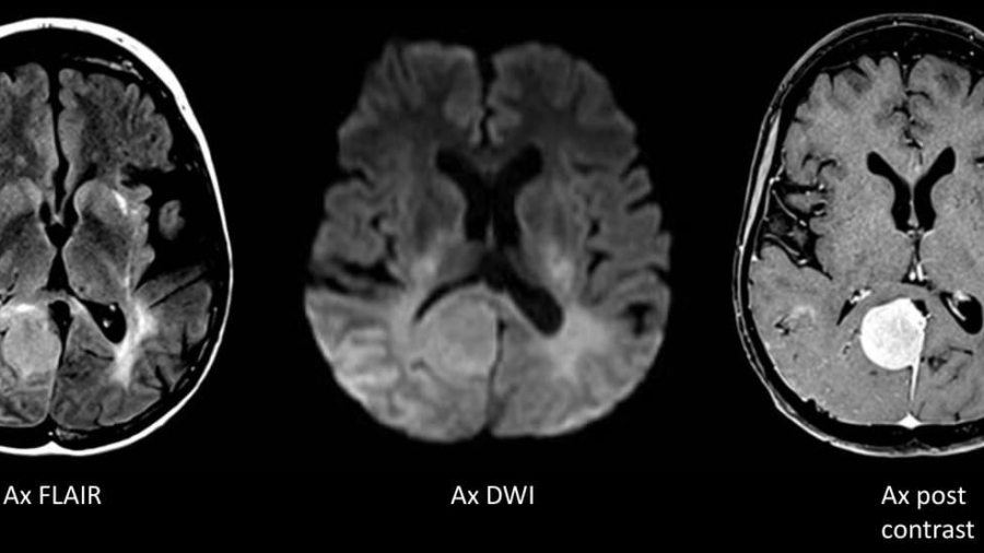
A 50 year old woman who underwent treatment for high grade pineal tumor. Presented with recurrent headache, seizures, visual disturbances and memory disturbances


