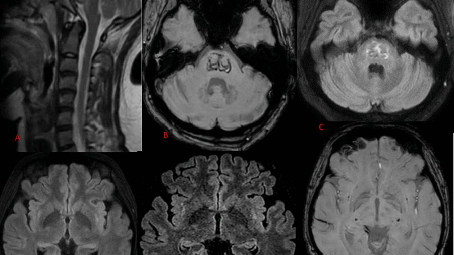
A rare case of osmotic pontine demyelination due to hypokalemia in a patient with Sjogren syndrome and renal tubular acidosis.
Feb 2023
9 years old child presented to pediatrics emergency with cyanotic spell and headache. He was a known case of tetralogy of Fallot with a large VSD.
On examination – the child had peripheral and central cyanosis.
Jan 2023
39 years , male, presented with progressive gait disturbance and speech difficulty since 11 months. Associated with headache, giddiness and vomiting since 3-4 months.
Dec 2022
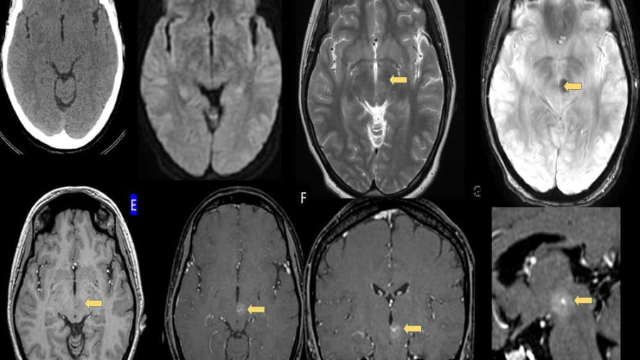
A 31 year old male presented with history of seizures since 2 months. He was treated with anti epileptics and was well controlled. Patient again developed breakthrough seizures. No focal neurological deficits.
Auto immune work up & CSF analysis were unremarkable.
Nov 2022
11 year old female child presented with history of right sided hearing loss, vertigo and imbalance since 6 months, right facial numbness, facial asymmetry and difficulty swallowing since 3 months, headache and vomiting since 1 month duration.
Oct 2022
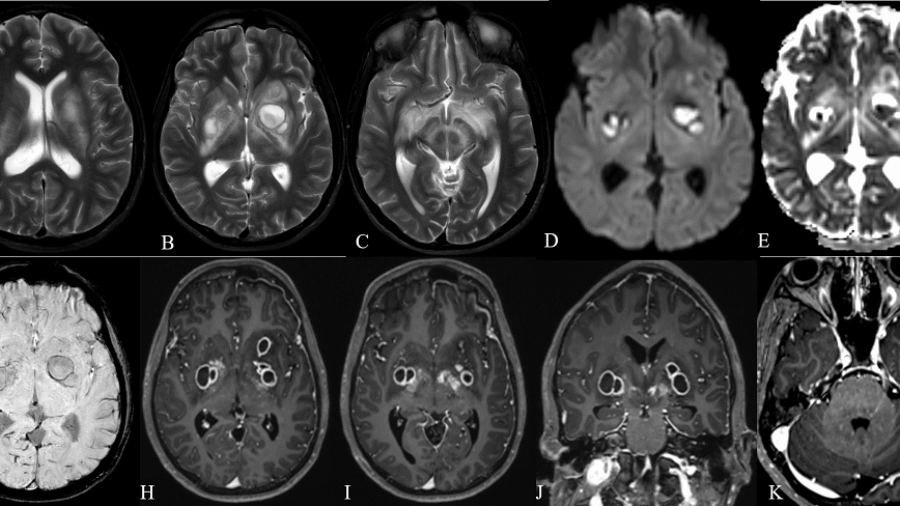
A 21 year old male was brought for evaluation of fever since 45 days associated with holocranial headache for 30 days and altered sensorium for 20 days .Working clinical diagnosis of chronic meningoencephalitis was made for which cross sectional imaging was requested.
Sept 2022
A 30 year old man, presented with complaints of severe headache and vomiting since 4 days.
No history of trauma. No focal neurological deficits.
No significant past history.
Aug 2022
A 36 year old hypertensive male presented with gradually progressive weakness of bilateral upper and lower limb weakness since 1-2 months.
July 2022
23 year old lady with tingling numbness in the right upper limb
No focal deficits
No significant past history
No neurological deficits on examination
MRI BRAIN (P+C) done for further evaluation
June 2022
Insidious onset of protrusion of right eyeball, which has increased over 1 month.
History of trivial fall 8 months ago with no loss of consciousness.










