October 2020
An elderly male, known diabetic with one episode of seizure. What is the diagnosis?
Case contributed by –
Department of Imaging Sciences and Intervention Radiology, SCTIMST, Trivandrum (from ISNR 2020 online quiz)
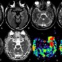
FLAIR shows cortical hyperintense signal in left temporal lobe. Subcortical hypointense signals are seen in T2-w images. No diffusion restriction is seen. ASL shows hyperperfusion.
Final diagnosis – Seizures associated with non- ketotic hyperglycaemia (NKH)
- Non-ketotic hyperglycemia (NKH) -triad of severe hyperglycemia, hyperosmolarity, and intracellular dehydration without ketoacidosis.
- 15–40% of patients with NKH can present with seizures.
- Cortical hyperintense signal changes with/without diffusion restriction and reversible sub-cortical hypointense signal changes are the MR imaging features.
- ASL hyperperfusion secondary to hyperglycemia-induced increased blood-brain barrier permeability and may remain persist for longer duration.


Add a Comment
You must be logged in to post a comment